歯髄温存療法(VPT)
歯髄温存療法(VPT)について
歯髄温存療法(VPT)とは
虫歯が大きく進行し、歯の神経まで達してしまった状態をいわゆる「C3の状態」と呼びます。
この場合、基本的には歯の神経を殆どすべて取り除かなければいけませんでした。(保険診療)
しかし近年、MTAセメントという材料が普及し、VPTという治療法が進んできたため、神経の感染していない部分のみ残すことが可能になっています。(自由診療)
VPT(バイタルパルプセラピー)は
- vital(生きた状態で)
- pulp(歯の神経を)
- therapy(残す治療)
と呼ばれています。
これにより歯の寿命を延ばすことができるようになってきました。そのため、当院ではVPTの治療に力を入れています。
C3に対する治療法
- 自費で神経を極力残し、自費の詰め物・被せ物をする
- 保険で神経を全て取り、保険もしくは自費の詰め物・被せ物する
※健康保険法の混合診療禁止の考えから、神経治療のみ自費は禁止とされてます。
VPT後の治療
VPT後は削った穴に以下のものをを詰めたり被せたりします。
- ダイレクトボンディング
- セラミック
- ゴールド
そもそも保険外治療をした歯に保険の詰め物をするのは混合診療として禁止されてますので、保険外治療のみとなってしまいますが、VPTの効果を最大限発揮するためにも、より精度の高い自費の詰め物・被せ物をすることで、接着性・封鎖性の向上を図り、細菌感染を徹底して防ぐことができるため、相性は非常に良いです。
歯の神経について
歯の神経とは?
「歯髄」とも呼ばれてます。血管と共に集合体を形成しており、痛みなどを感じるだけでなく、歯に栄養・水分を供給する重要な組織です。
歯の神経を取る際、血管やリンパ管も除去されるため、血流がなくなり栄養が与えられませんので、歯をもろくして、寿命を縮めてしまいます。
可能なら神経は残した方がよい理由
1、神経を取った歯は折れやすい
神経が無くなると、歯に栄養・水分が供給されず、歯がもろくなってしまいます。
木で例えると、生木は折ろうとしてもなかなか折れません。しかし枯れ木は、簡単に折れてしまいます。
神経のある歯=生木、神経のない歯=枯れ木なのです。私たちが最も恐れることは、歯の根が折れてしまう「歯根破折」です。折れた歯は状況によっては抜歯になる可能性が高いと言えます。
2、根尖病変の発生・再発
昔治療した歯に根尖病巣ができることは珍しくありません。神経を抜いた歯の内部に、どれだけ薬剤を敷き詰めても、細菌からしたら隙間だらけであり、遅かれ早かれ再び細菌感染を起こします。
根管が細菌感染すると、根の先に膿が溜まるなどのトラブルが生じて、根尖病巣は拡大し、再治療か、状態によっては抜歯をしないと治らない場合があります。
3、病変に気づきにくい
神経があると歯に痛みを感じ、虫歯じゃないか?と気づくことができます。痛みを感じることは、体を守る上で非常に重要な役割です。神経のない歯が虫歯になっても、ほとんどの場合は気づきません。
再び根管内で細菌が増殖して根の先で炎症を起こすか、虫歯が進行しきってボロボロになってようやく気づき、大きな治療が必要となったケースが多いです。
4、歯の色が暗くなる
歯を残せる詰め物で治療を終えても、神経が無くなるとやがて残った歯の色が暗くなり、見た目に影響を及ぼすこともあります。
歯自体を抜くとどうなる?
治療の内容によって、歯の寿命が左右される理由としては、「負のデンタルサイクル」という考え方が根拠となっております。
これは一度虫歯になり、治療を施した歯は完全回復が事実上不可能であり、治したところの少しの隙間からまた細菌感染が起き、回数を重ねるごとに、病変の大きさと治療難易度が増し、自然治癒もしないので放置しても最後には抜歯は免れないであろうといった考えです。
歯を抜くと、自ずと他の歯に噛む力の負担が連鎖し、ドミノ倒しのように歯を失っていきます。
そうなると美味しく食べれないし、栄養の偏りも出て様々な病気を引き起こします。
回復させるには入れ歯では不十分な場合が多く、複数本のインプラント治療を受けるにも大変高額となってしまいます。
したがって、そもそも虫歯にさせないというのが一番大事ですが、虫歯になってしまった場合は、少しでも早い段階で自費治療をするのが、歯を抜かずに済むコツということになります。
基本的には保険治療であるとその場での症状は改善しますが、長期安定(いわゆる歯の長持ち)は治療時間や素材の制約があるため、叶わないことが多いです。
また保険外治療をしたからもう一生大丈夫というわけではなく、どちらの治療を受けたとしても日々のケアや定期検診の通院率で、その歯の予後は左右されます。
保険治療は神経を取るしかないのか?
実は生活歯髄切断法といい、保険治療でもやれることがあります。ただ子供の虫歯治療で行うことが多く(アペキシフィケーション)、使う薬剤はMTAセメントではなく、保険治療で扱える水酸化カルシウム製剤となります。
この薬剤で、成人の患者さんに行ったとしても違和感や痛みが残ることが多く、結局神経をすぐ取る事が多いです。当院では保険治療では基本的におすすめはしておりません。
歯髄温存療法(VPT)で使用する機器や薬剤
1、拡大視野
高拡大ルーペや顕微鏡により、肉眼では不可能な歯の状態まで観察ができます。虫歯や感染した歯髄のみを的確に除去することで健全歯質の温存と、神経自体を観察して、成功率の度合いをチェックします。
2、ZOOもしくはラバーダム防湿
予め自費治療を行うことが決まってる前提ですが、(装着や消毒に時間を要することもあるため) 防湿をすることで、唾液や水分、歯ぐきから出る浸出液など、細菌が根管内に侵入するのを防ぎます。したがって成功率に差がでます。
3、MTAセメント
mineral trioxide aggregate の略で簡単に言うと歯科用コンクリートセメントのようなものです。強いアルカリ成分が殺菌効果に働き、治療時に粘性だった物が24時間後にコンクリートのように固まります。
体にも悪影響のない安心な成分です。神経の治療をした時の充填剤として、歯に穴が空いてしまった時のリペア剤としてそして神経を残すための保護剤として扱われています。
保険外材料となり、自由診療のみでの取り扱いと法律で決められています。
専門性を高める努力を常にしています
中野島ささま歯科医院では、歯髄温存療法(VPT)やMTAセメントを用いた歯の神経を残す治療など、川崎市多摩区で最新の歯科治療技術を提供するため、継続的な学びを大切にしています。
当院の歯科医師は国内外の学会や専門研修会へ積極的に参加し、マイクロスコープ(歯科用顕微鏡)や高倍率ルーペを用いた精密根管治療の技術向上に日々取り組んでいます。
エビデンスに基づいた最新の知見を診療に取り入れ、ラバーダム防湿などの感染対策も徹底することで、患者さんの歯を可能な限り抜かずに残し、歯の寿命を延ばすことを目指しています。
中野島駅から徒歩1分の当院は、専門性の高い歯科診療を通じて地域の皆さまのお口の健康をサポートし続けます。
歯の神経の治療でお悩みの方へ
本当に良いと思える治療を受けるには、値段だけで決めるのではなく、このような違いを明確に知った上で、治療法を選ぶことが一番大事です。
当院では、どちらの治療を選択されたとしても患者さんの意思を尊重します。ご自身の大事な歯ですので、後悔なき選択をして頂けたら幸いです。
歯髄温存療法(VPT)症例集
症例1
症例の説明
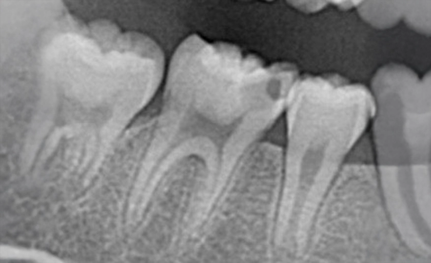
①術前の状態です。
実際のレントゲン写真
②虫歯を除去していくと、感染して柔らかくなっている部分が出てきます。最初の穴より大きい範囲で、虫歯があるのがわかります。
③虫歯を取り切った状態です。穴の中に赤い部分があります。これが歯の神経で、完全に露出してるのが分かると思います。従来の治療法だと神経を抜く治療をしてましたが、今回は神経を残す治療をしていきます。
④炎症のある神経を2ミリほど除去し、MTAセメントを詰めました。白くなってる部分がMTAセメントです。
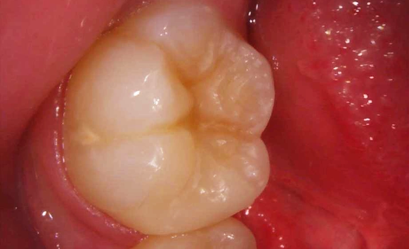
⑤白い詰め物で穴を埋めました(ダイレクトボンディング)自然な仕上がりになったと思います。
| 主訴 | 穴が空いているところを治したい |
|---|---|
| 治療内容 | VPT、ダイレクトボンディング |
| 治療期間・回数 | 1回 |
| 治療費 | 右下6番目VPT+ダイレクトボンディング66,000円(税込) |
| リスク・副作用 | 歯の神経が炎症を起こすリスクが低確率であり、歯の薄い部分が欠けるリスクが低確率であり。 |

